(07 31) 6 47 77

Image

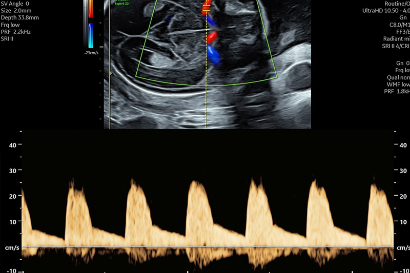
Doppler-sonografie

Die Dopplersonografie ist eine Untersuchung in der die Gefäße des Kindes, der Placenta und der Gebärmutter beurteilt werden. Insbesondere der Strömungswiderstand und die Blutflussgeschwindigkeiten

geben Aufschluss über eventuelle Risikokonstellationen und können in Fällen von kindlicher Wachstumshemmung den optimalen Geburtszeitpunkt für das Kind bestimmen.

Es ist möglich mittels Screening eine kindliche Wachstumshemmung und die Entwicklung einer Präeklampsie („Schwangerschaftsvergiftung“) abzuschätzen und die weitere Schwangerschaftsbetreuung individueller anzupassen.

Image

Wir nutzen Cookies auf unserer Website. Einige von ihnen sind essenziell für den Betrieb der Seite, während andere uns helfen, diese Website und die Nutzererfahrung zu verbessern (Tracking Cookies). Sie können selbst entscheiden, ob Sie die Cookies zulassen möchten. Bitte beachten Sie, dass bei einer Ablehnung womöglich nicht mehr alle Funktionalitäten der Seite zur Verfügung stehen.