(07 31) 6 47 77

Image

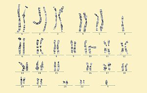
Fruchtwasser-untersuchung

Bester Zeitpunkt: 17. Schwangerschaftswoche (ab 15.SSW möglich)
Entnahme von Fruchtwasser durch die Bauchdecke mit einer dünnen Nadel zum Ausschluß von Chromosomenkrankheiten.

Image

Bei Auffälligkeiten in der kindlichen Entwicklung oder Organfehlbildungen (z.B. Herzfehlern) kann eine Abklärung der kindlichen Erbanlagen mittels Fruchtwasseruntersuchung (Amniozentese) erfolgen. 

Eine der bekanntesten Chromosomenstörungen ist die Trisomie 21, das Down-Syndrom. Das Risiko für die Geburt eines Kindes mit dieser Chromosomenstörung steigt mit zunehmendem Alter der Mutter an. Neben dem mütterlichen Alter können aber auch andere Ursachen, wie eine vergrößerte Nackentransparenz, ein auffälliger NIPT (nicht invasiver Pränataltest) oder Erbkrankheiten in der Familie ein erhöhtes Risiko bedeuten.

Wir nutzen Cookies auf unserer Website. Einige von ihnen sind essenziell für den Betrieb der Seite, während andere uns helfen, diese Website und die Nutzererfahrung zu verbessern (Tracking Cookies). Sie können selbst entscheiden, ob Sie die Cookies zulassen möchten. Bitte beachten Sie, dass bei einer Ablehnung womöglich nicht mehr alle Funktionalitäten der Seite zur Verfügung stehen.