

Der beste Zeitpunkt ist die 20.-22. Woche der Schwangerschaft.
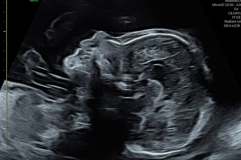
ist es, Informationen über die Schwangerschaft und den Zustand des ungeborenen Kindes zu erhalten. Es werden die einsehbaren Organe (Gehirn, Herz, Nieren, Wirbelsäule, Extremitäten, ...) hinsichtlich ihrer korrekten Ausbildung und zeitgerechten Entwicklung untersucht.
So können häufig Gefährdungen des ungeborenen Kindes frühzeitig erkannt werden, und es kann eventuell hilfreich eingegriffen werden:
einer weiterführenden Untersuchung ergeben sich aus der Vorgeschichte (besondere Erkrankungen oder Fehlbildungen in der Familie oder vorherigen Schwangerschaften, Medikamenteneinnahme, Z. n. Sterilitätstherapie, Alter etc.) oder aus auffälligen Befunden im Schwangerschaftsverlauf (Auffälligkeiten oder Unklarheiten im Basisultraschall, Infektionen, drohende Frühgeburt).
Zusätzlich kann auch der Wunsch der Schwangeren nach mehr Information über die Entwicklung des Ungeborenen ein Grund für diese Untersuchung sein.
Ihr Frauenarzt/Ihre Frauenärztin entscheidet, ob ein Grund für eine Überweisung zur Feindiagnostik vorliegt. Sie können diese Untersuchung aber auch als Selbstzahlerin wahrnehmen.
Durch eine Baustelle können unsere gewohnten Parkplätze nicht genutzt werden.
Ausweichparkplätze finden Sie in der Mozart oder Alpenstraße.